產品介紹
劉氏染液
儀器介紹
- 產品介紹

劉氏染色法(Liu's stain),是一種將動物細胞染色以便使用光學顯微鏡觀察的方法。
改良自瑞氏染色法(Romanowsky Stain),於1953年由國立臺灣大學醫學系劉禎輝教授所研究發表。
【預期用途】
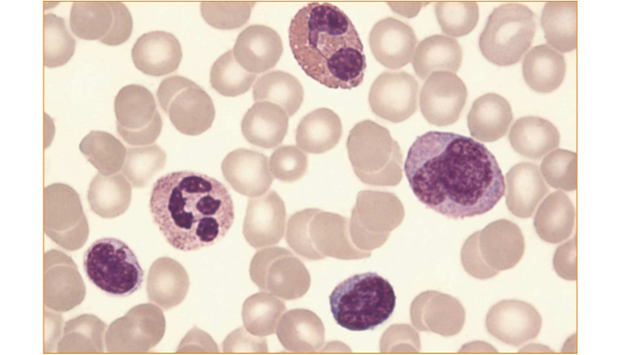
主要用於血細胞塗片、骨髓塗片、陰道分泌物(婦科白帶)塗片、脫落細胞塗片染色。
【檢驗原理】
貝索(BaSO)劉氏染色液是根據臺灣大學劉禎輝教授所研究的一種新的染色技術所配製,它跟瑞氏染色(wright stain)一樣,都是利用 Romanowsky stain 技術原理改良而成的,所得到的結果也跟瑞氏染色液相類似。與瑞氏染色法相比劉氏染色所花費的時間較短,一般只需2分鐘即可完成染色步驟。
細胞的著色過程是染料透入被染物並存留其內部的一種過程,此過程既有物理吸附作用,又有化學親和作用。各種細胞及細胞的各種成分由於其化學性質不同,對劉氏染色液中的酸性染料(曙紅)和鹼性染料(亞甲藍)的親和力也不一樣。因此,標本塗片經劉氏染色液染色後,各類細胞呈現不同的著色,從而達到辨別其形態、特徵的目的。
【試劑內容】
1. 劉氏染色液A溶液
2. 劉氏染色液B溶液
【搭配產品】
光學顯微鏡